The retired Dr Thorne's past & present public speaking topics
This archive is presented in reverse chonological order, and is unfortunately incomplete, but the intention is to progressively fill in the gaps.
The retired Dr Thorne's previous public speaking topics

November 2024
The significance of protein folding in human health and disease
U3A City Courses Science & Technology
We thought we had worked out how genetic diseases were passed down from generation to generation, and that viruses, bacteria, parasites, fungi and toxic substances could cause us harm.
We didn’t realise that some perfectly normal proteins, when ingested or otherwise introduced into the human body can actually trigger the abnormal folding of protein molecules and thereby cause human illness or death!
Aspects of this unique knowledge, and the application of artificial intelligence (AI), led to the award of a Nobel Prize in chemistry in 2024!

May 2024
When animals infect humans
U3A City Courses Lectures
An exploration of the world of animal diseases that may potentially be transmitted to humans. These are known as ‘zoonoses’ or ‘zoonotic diseases’.
It is estimated that 60 percent of the known infectious diseases and up to 75 percent of new or emerging infectious diseases are zoonotic in origin.
The yearly numbers of cases worldwide are simply staggering, and although Australia is in general a relatively low-risk environment, there are some known risks that we should all take heed of!

April & October 2023, January & August 2024, April, May June & August 2025
The mystery of "Face Blindness"
U3A City Courses Health Matters series, U3A Melville & Districts, Peel MALA Summer School, Probus @ Glen Forrest,Kalamunda & Booragoon, and U3A at Booragoon & Lesmurdie.
Have you ever looked at a person and wondered, “Do I know you?”
Believe it or not, up to 1 in 50 are born with “Face Blindness” (prosopagnosia) which makes it challenging (in some cases impossible) to recognise someone by their face!
In several different versions of this presentation David has explored the mysteries of this strange affliction, and our new understanding of how and why face recognition is such a critical yet generally effortless skill for most of us to acquire.
Recent technological developments have led to AI-driven facial recognition which is becoming increasingly commonplace — at the international airport, at supermarkets and even at Bunnings, and then there’s your mobile phone which can unlock simply when it ‘sees’ your face!
It can therefore be difficult for us to even comprehend that someone may not be able to recognise faces!

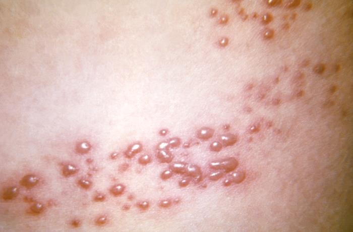
April 2022, March, August & November 2023
The scourge of Shingles — risks and remedies
U3A City Courses Health Matters series, U3A Melville & Districts, U3A Western Suburbs, Perth MALA
As we get older and hopefully wiser, most seniors become increasingly risk averse.
We look at our daily lives and lifestyles to evaluate the likelihood we will succumb to cancer, osteoporosis and hip fracture, but do we take the risk of shingles seriously?
Did you know that about 1 in every 3 of us will get shingles, and the risk progressively increases the older we get?
There are important facts you should know about the risks -- and important recent changes in opportunities for prevention that all should become familiar with.

September 2021, May 2022, October 2023
Organ & tissue transplants in Australia
U3A City Courses Science & Technology, U3A Western Suburbs, U3A City Courses Health Matters series
Different versions of this talk, the most recent covering the history of transplantation in humans with a major emphasis on Australian aspects.
Australia has not only kept up with new developments but even made significant contributions to technological improvements that have improved transplant success rates around the world.
In this talk (which includes David’s personal experience as the recipient of a deceased-donor corneal transplant) David tries to answer the question, "How relevant to the seniors’ population is knowledge about human transplants?"

May 2023
Ageing eyes & ears
U3A City Courses Health Matters series
A continuation of our earlier theme of understanding the ageing process.
We may have reluctantly come to terms with seemingly inevitable changes in our appearance and levels of physical activity as we age, but deterioration in vision and hearing also turn out to be unavoidable consequences of ageing!
What is normal? What can we do to minimise the impact on our health and wellbeing?

October 2022
How good is Dr Google?
U3A City Courses Health Matters series
A look at the Google that in recent years has transitioned from a corporate giant brand name to an everyday verb – describing how we search for answers – multiple times a day!
Should we be placing our faith in what it says, and should we trust Google to advise us on our personal health matters?

September 2022
Human ageing — understanding the processes .. and the consequences
U3A City Courses Health Matters series
As time passes it is a biological fact that the human body ages.
We explore the underlying reasons for change in our body’s physical appearance and functions, in our mental insights and capabilities, and what it all means for our personal health and wellbeing.

November 2021, May 2022
What if I should need an anaesthetic?
U3A Western Suburbs, U3A City Courses Health Matters series
A brief history of anaesthesic practice in Australia with an explanation of what it means for those of us who might require anaesthesia.
David provides some personal anecdotes from both his giving and receiving of anaesthetics!

September 2021
Why do we get cancer?
U3A City Courses Health Matters series
A historical tour-de-force from primitive sharks to Egyptian pharaohs and child chimney-sweeps through to our modern-day diet, sex and lifestyles!
An in-depth look at why cancer is such a ubiquitous condition.

August 2021
More about ‘health’ supplements
U3A City Courses Health Matters series
This time we discussed the essential minerals and Omega-3 supplements.
We also explored in more detail the challenges faced by those who wish that hard evidence could underpin all of our proposed therapies.

April 2021, November 2021
The truth about vitamins and supplements
U3A City Courses Health Matters series, U3A Melville & Districts
Who really benefits from those much-touted pills, powders & potions, us or the manufacturers, pharmacies and health shops?
Controversial and surprising for some, this talk described what vitamins are, how they were discovered and what their effects are. Following on from the previous talk about drugs, the risks were described along with claimed benefits.

March 2021, March & May 2022
Dos & Don’ts of Prescribed Drugs
U3A City Courses Health Matters series, Glyde-In
A quite popular presentation addressing both doctor-prescribed and some readily-available over-the-counter medications!
The talk was based on simple pharmacology - a basic understanding of how drugs are absorbed, get to where they’re needed, do their intended job and are ultimately eliminated.
Of, course all drugs have unintended consequences too, and the concepts of side effects and interactions with food / drugs / supplements (with some typical examples of the problems encountered) were discussed.
This talk generated genuine interest and animated discussion!

October 2020
Voluntary Assisted Dying
U3A City Courses Monthly Lectures
As a former Palliative Care doctor, David was invited to discuss rapidly changing Voluntary Assisted Dying legislation across Australia, and particularly at that time in Western Australia.
This was a different ‘take’ on what had, at times, been a somewhat bitter debate about euthanasia in general. David explored the history of assisting people to die through the millennia and delved into the attitudes attributed to the ancient Greek philosophers, and in our early modern history.
In more recent times a wave of change was seen around the world, with many countries progressively altering restrictive legislation to decriminalise the assistance to die in certain circumstances.
Finally, the changes in attitudes were discussed and possible explanations for the reformist ideas were investigated. At the time the WA Voluntary Assisted Dying legislation was poorly understood, and an explanation of its benefits and shortcomings concluded the discussions.

May 2019
Dinosaurs across Australia
U3A City Courses Monthly Lectures
In 2010 David was delighted to discover the tracks of dinosaurs in the sandstone rocks close to Broome, visible particularly at low tide. Rather than being underwhelmed (as some were) by the barely recognisable imprints, David was prompted to try to learn more about “dinos” and shared his experience of visiting the Lark Quarry trackways --- reputed to be evidence of a “dinosaur stampede” in central Queensland.
To his added surprise, David discovered that fossilized dinosaur bones are indeed being recovered in various Australian regions.
